⻭列矯正に対する希望別に選ぶ
のおすすめ矯正⻭科3選
公開日: |更新日:
歯と歯の間にすきまがあいてしまっている、すきっ歯。笑うと目立ってしまい、気になる方も多いと思います。詳しい症状や、受け口になる原因、治療方法などをまとめました。
すきっ歯とは、その名称からも分かるように、歯に隙間がある症状です。歯隙歯列とも呼ばれている症状で、ガタガタの歯並びや出っ歯と合わせて日本人によく見られる歯並びとされています。
すきっ歯も様々で、特定の歯の間だけ隙間がある場合もあれば、歯全体的に隙間が見えるケースもあります。
すきっ歯は見た目の問題もさることながら、隙間から空気が漏れてしまうことから発音・発声に支障をきたすことにもなりかねませんし、隙間に汚れが溜まりやすいので歯周病リスクを高めてしまうなど、デメリットも多いです。
すきっ歯の原因として、上唇小帯(上唇と前歯をつなぐすじ)に起因するケースが挙げられます。上唇の裏側のすじが歯の間にまで発達してしまっていることから、すじが邪魔をして隙間が生じてしまうケースです。
他にも前歯が大きい、あるいは前歯の隣の歯が小さいことで隙間が生じるケースもあれば、顎に比べて歯が小さい場合、隙間ができてしまうケースもあります。
すきっ歯の治療法としてはダイレクトボンディングやレミネートベニアが挙げられますが、これらは外れるリスクだけではなく、歯を削る必要があります。
その点矯正治療であれば歯を削る必要はありませんので、自分の歯を大切にしたいのであれば矯正治療が良いでしょう。矯正治療に関してもワイヤー矯正からマウスピース矯正など、様々な選択肢が用意されています。
歯の状態、矯正の方法によって治療費用や期間が異なります。ワイヤー矯正であれば約60万円、マウスピース矯正なら40~80万円、裏側矯正なら100万円、ラミネートベニアだと1つの歯で13万円ほどかかります。
上唇小帯の切除が必要な場合、健康保険3割負担で3,000円ほど追加料金が必要です。

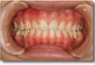
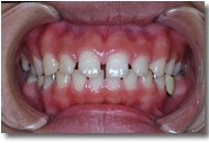
画像引用元:アイウエオ矯正歯科医院(https://www.aiueo-kyousei.com/c03/ortho_case_kugeki_top)
全体的に歯と歯の間にすきまが発生していた事例です。ワイヤー矯正装置とゴムを用いて、非抜歯で治療しています。矯正期間は2年。保定治療に2年かけました。
すきっ歯の治療を行うのであれば、治療に対応したクリニックを選ぶのはもちろんですが、矯正治療後まで考慮する必要があります。矯正治療は矯正装置を外してからのケアも大切です。
アフターケア次第では、せっかく矯正した歯列が元に戻ってしまい、それまでの矯正治療を無意味なものにしてしまう可能性もあります。費用や治療内容はもちろんですが、治療後のフォローまで重視しているクリニックなのかも、チェックしておきましょう。
電話番号:0595-65-5158
電話番号:0120-539-118
電話番号:059-541-0178
※以下の条件で選出しています(2021年6月時点)
・公式サイトで歯科矯正治療の項目が確認できる名張市と伊賀市内のクリニック
・後戻りを防ぐ保定治療・アフターメンテナンスについて公式サイトに明記されている
・無料で相談できる