⻭列矯正に対する希望別に選ぶ
のおすすめ矯正⻭科3選
公開日: |更新日:
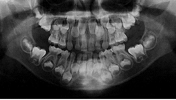
矯正治療の仕上がりを左右するのは担当する歯科医の力量ですが、その中には経験や知識だけではなく、どのような機器・設備を用意しているのかも含まれています。そして特に仕上がりを左右するとされているのがレントゲンです。
矯正治療では、歯の現状を正しく把握し、どのように動かすのかをシミュレーションすることが大切です。シミュレーションを行えば、後はその通りになるよう、矯正装置・器具を使用するだけです。
つまり、事前のレントゲンでどれだけ正確に口腔内の状態を把握するのかこそ、仕上がりを大きく左右する部分と言っても過言ではありません。

引用元:日本矯正歯科学会(https://www.jos.gr.jp/about)
矯正は歯をきれいに並べるだけの治療ではありません。歯並びはきれいになっても、見た目が悪くなったり、噛み合わせが合わなかったりする可能性があります。
例えば、歯列矯正で改善が期待できる出っ歯は、歯だけでなく顎の骨が影響していることもあるため、目視だけでは正しく治療方針を決めることができません。
レントゲンは見えている歯だけでなく、歯茎に埋まった歯や歯茎の状態、骨格部分の骨の状態など、歯を支える土台の部分の状況を確認できます。噛み合わせや見た目のバランスを考えた歯列矯正が叶うのです。
どれだけ歯科医が素晴らしい経験・技術を持っているとしても、レントゲンで正しい状況を把握できなければ、歯科医としてのスキルを発揮することはできません。
仮にですが、レントゲンの精度が悪ければ、シミュレーションにも誤差が生じますし、誤差の生まれたシミュレーションに基いた矯正器具では、仕上がりも満足できるものではなくなるでしょう。
いかに患者の状態を正しく把握するかが大切かという話なので、矯正治療において、レントゲンの重要性が高いかが分かるのではないでしょうか。

引用元:日本臨床矯正歯科医会(https://www.jpao.jp/15news/1525trendwatch/vol07)
クリニックによって採用しているレントゲンは異なりますが、精度にこだわりのあるクリニックが採用しているレントゲンとしてセファロが有名です。
セファロは側方頭部X線規格写真とも呼ばれ、日本で40年の活動実績を持つ団体・日本臨床矯正歯科学会が推奨している歯科専用のレントゲン。より正確な状況の把握が可能なだけではなく、ソフトウェアと組み合わせることでより精度の高いシミュレーションを可能にするものです。
矯正治療を考えているのであれば、クリニックにてどのようなレントゲンを用意しているのか、セファロを採用しているのかも、判断材料になるでしょう。
電話番号:0595-65-5158
電話番号:0120-539-118
電話番号:059-541-0178
※以下の条件で選出しています(2021年6月時点)
・公式サイトで歯科矯正治療の項目が確認できる名張市と伊賀市内のクリニック
・後戻りを防ぐ保定治療・アフターメンテナンスについて公式サイトに明記されている
・無料で相談できる