⻭列矯正に対する希望別に選ぶ
のおすすめ矯正⻭科3選
公開日: |更新日:
出っ歯とはどのような症状なのかや原因、その治療法や費用、症例についてをまとめていますのでご覧ください。
出っ歯とはその名称からも分かるように、歯が前に出てしまっている症状です。程度は個人差がありますが、横から見ると、上の前歯が下の前歯よりも突出している場合、出っ歯と考えてよいでしょう。
出っ歯の有名人・著名人も多いことから、比較的身近な症状なので出っ歯がどのような症状なのかは多くの方がある程度理解しているのではないでしょうか。
いわば体質的なもので、骨の形や歯並びなど、親が出っ歯であれば遺伝で出っ歯になってしまうことも珍しくありません。全体の3割程度が、遺伝的な要因によるものだと言われています。
顎の大きさや歯の大きさは遺伝するため、下あごが小さかったり、他の歯よりも前歯が大きくなることで出っ歯になります。
参考:三鷹miki矯正歯科(https://www.mitaka-miki-ortho.com/child/child-deppa/)
指しゃぶりや爪を噛むなど、上の前歯を圧迫したり、あるいはした顎を下げてしまうような癖によって徐々に歯が前に出てきてしまうケースがあります。また、柔らかいものばかりを食べていると前側で物をかむ癖がつき、舌が前歯を押し出すような形となって出っ歯になってしまうケースもあります。
他にも姿勢の悪い状態での食事が出っ歯を促進させたり、虫歯によって乳歯が抜けてしまった場合、歯並びが悪くなり出っ歯になることもあります。
歯列矯正とセラミッククラウン法が、出っ歯の基本的な治療法です。セラミッククラウン法は差し歯なので周囲の歯を削る必要がありますが、歯列矯正の場合、時間をかけて歯並びを矯正する方法なので、歯を削らない治療が可能です。
参考:矯正歯科ネット(https://www.kyousei-shika.net/knowledge/article/411/)
参考:イルニード歯科(https://www.ichinoe-ekimae-ilnido-dental.jp/dia_08/adult03/)

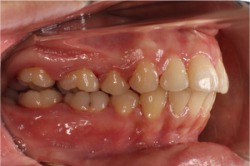
引用元:アイウエオ矯正歯科(https://www.aiueo-kyousei.com/wp/case/database.cgi?cmd=dp&num=326)
前歯が前方に向けて突き出す形で生えていたため、ワイヤー矯正で矯正した症例です。症状に合わせてワイヤーを曲げ、噛み合わせも考えながら矯正されています。
症状によってそれぞれ治療法が異なりますので、希望する治療が用意されているクリニックなのかをチェックしておきましょう。
また、矯正治療は時間がかかりますので、治療期間中、さらには強制装置を外した後のアフターケアも大切です。せっかく治療を行っても、アフターケアが薄いことで元に戻ってしまうケースもあります。これでは治療の意味がなくなってしまいますので、アフターケア体制も確認しましょう。
電話番号:0595-65-5158
電話番号:0120-539-118
電話番号:059-541-0178
※以下の条件で選出しています(2021年6月時点)
・公式サイトで歯科矯正治療の項目が確認できる名張市と伊賀市内のクリニック
・後戻りを防ぐ保定治療・アフターメンテナンスについて公式サイトに明記されている
・無料で相談できる